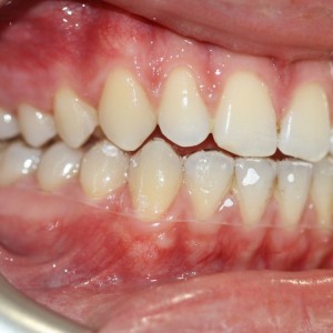
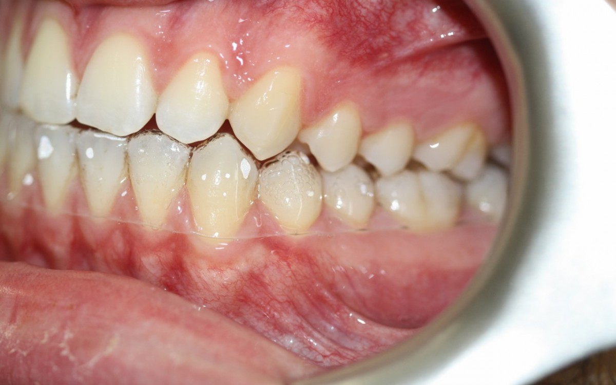
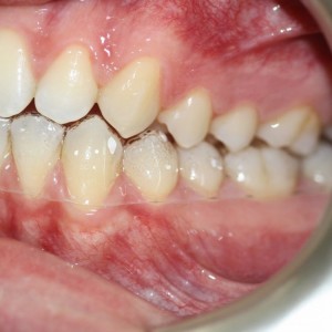
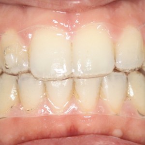
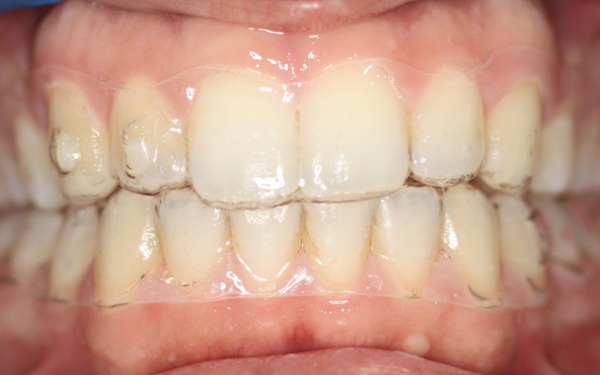
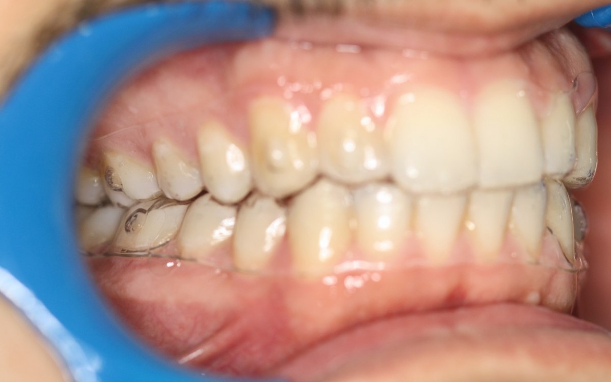
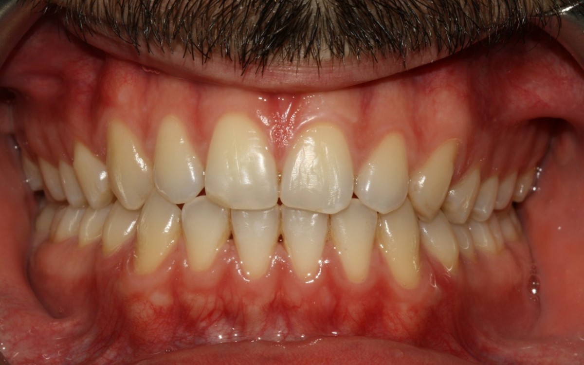
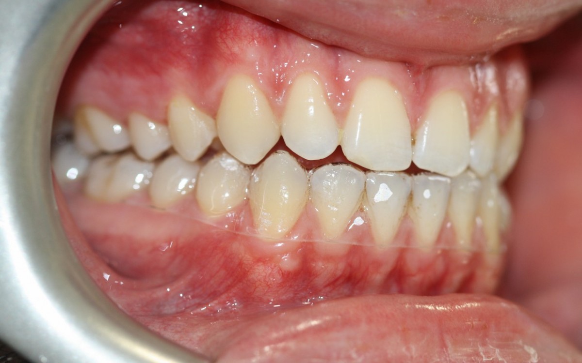
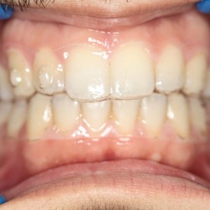
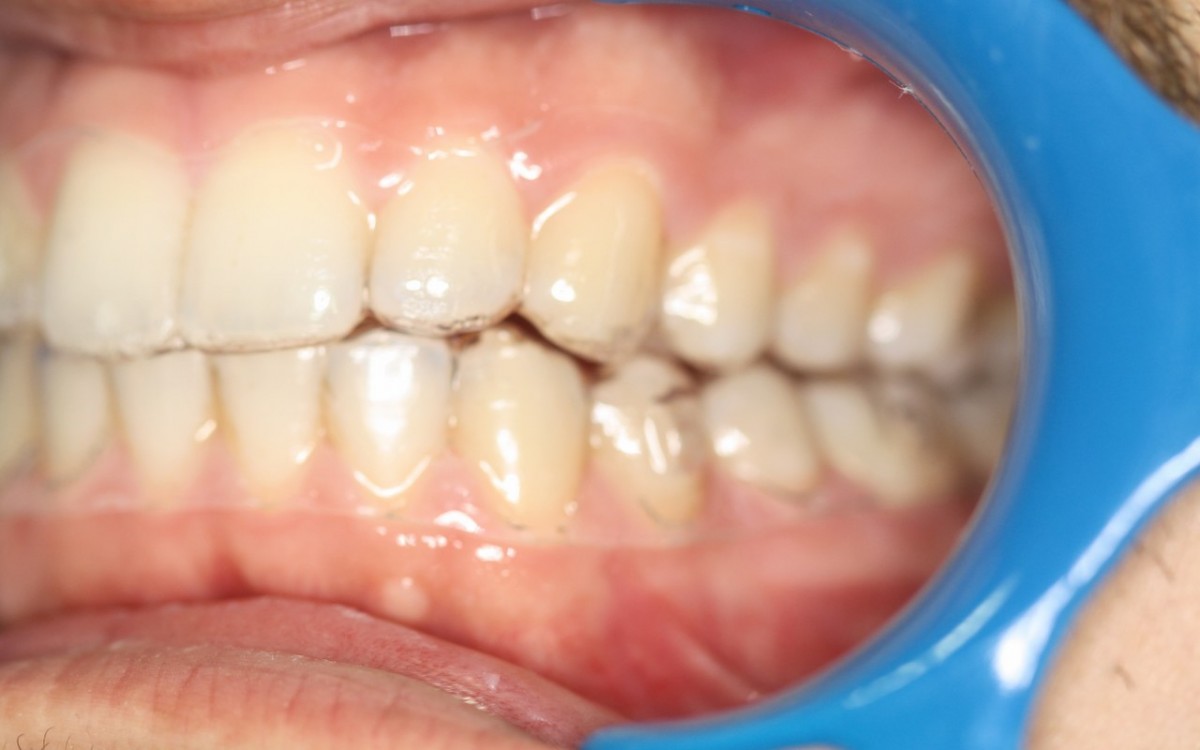
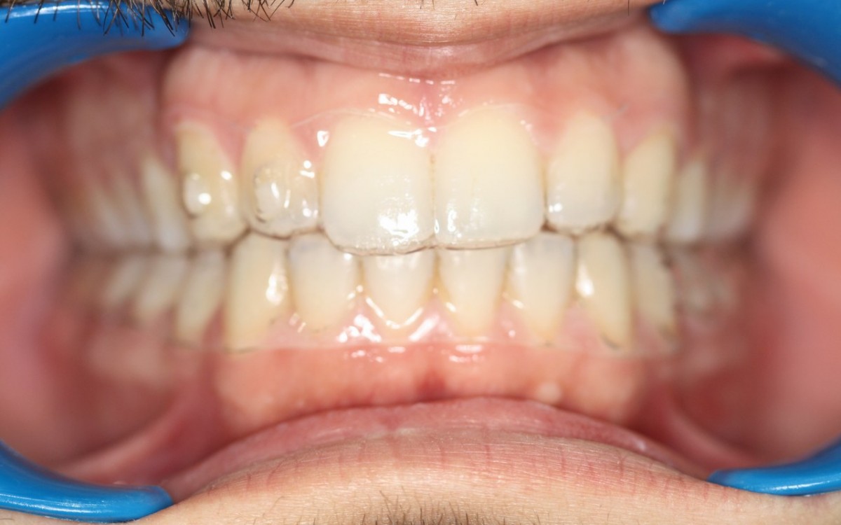
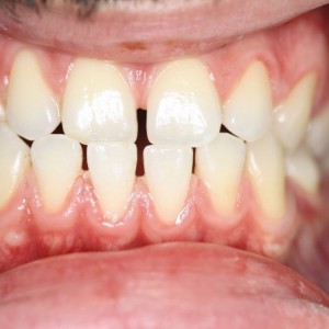
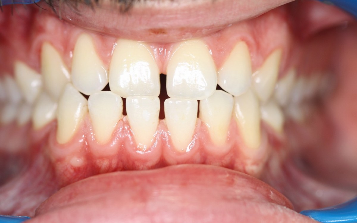
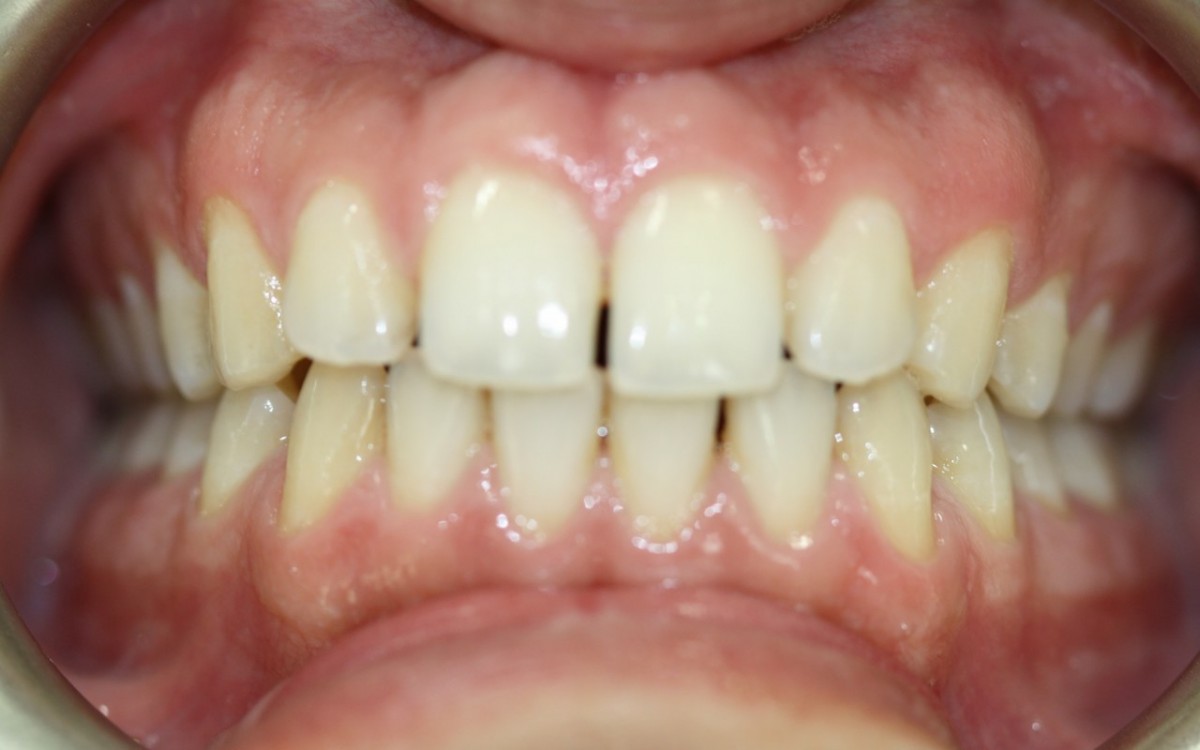
Şeffaf plaklar Şahıstan alınan ölçülerle kişiye özel üretilen plaklarla yapılan tedaviler dir.

Şahıs bu plakları 22 saat düzenli bir şekilde sırayla takmak durumundadır.

Bu tedavinin de yine estetik ve hijyenik avantajları vardır.

WeCreativez WhatsApp Support
Merhaba Size Nasıl Yardımcı Olabiliriz?